openbiteすきっ歯・開咬
- ホーム
- すきっ歯・開咬
すきっ歯(正中離開、空隙歯列)
 
                        
歯と歯の間にすき間がある歯並びを、すきっ歯と言います。すきっ歯には種類があり、前歯の中心のすき間が目立つものは「正中離開(せいちゅうりかい)」、奥歯まで全体的にすき間があるものを「空隙歯列(くうげきしれつ)」と呼びます。
なお乳歯の時期のお子様は、すきっ歯であるほうが望ましいため、心配はいりません。すき間があることで、後で生えてくる大きな永久歯がきれいに並ぶからです。それ以外の場合には問題を招くことがありますので、台東区浅草の矯正専門医院「冨永矯正歯科」までご相談ください。
正中離開、空隙歯列になる原因
すきっ歯になる原因には、さまざまなものがあります。日常のクセなどで改善できるものは、意識して直していきましょう。
- 顎の大きさに対して歯が小さいなどの遺伝的要因
- 前歯が出っ歯である
- 「舌で前歯を押す」などの舌の悪いクセ
- 口呼吸(扁桃腺・アデノイドによるものなど)
- 鼻炎(鼻づまり・アレルギー性鼻炎) など
放置した場合の弊害
すきっ歯は見た目が気になるだけでなく、お口の環境や機能面でも問題を招きます。
- 咬み合わせが悪いことで個々の歯に負担がかかりバランスが乱れる
- それを放置すると歯が抜け落ちてしまう
- 歯にものが挟まりやすく、虫歯・歯周病のリスクが高まる
- 歯のすき間から息がもれ、発音が悪くなることがある など
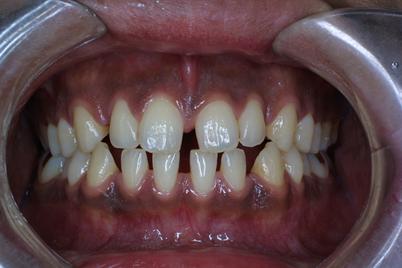
治療例
 
                             
                        | 主訴 | 歯の間に隙間がある | 
|---|---|
| 診断名 | 空隙歯列弓 | 
| 治療開始年齢 | 38歳 | 
| 治療に用いた主な装置 | マルチブラケット装置 | 
| 抜歯部位 | 非抜歯 | 
| 治療期間 | 動的治療18ヵ月 保定36ヵ月 | 
| 治療費用 | 770,000円(税込) | 
| 起こりうるリスクと副作用 | ・歯みがきをしないことによる虫歯の発生 ・歯みがきをしないことによる歯周病の罹患 ・歯の移動時の痛み ・歯根吸収 ・リテーナーを使用しないことによる後戻りの発生 | 
歯が閉じない(開咬)
 
                        
咬み合わせが正常な場合、奥歯を咬み合わせると下の歯列に上の歯列が適度に被さりますが、同じようにしても上下の歯列が閉じないことがあります。それを「開咬(かいこう)」と言います。
開咬はものを咬み切りにくいだけでなく、さまざまな問題を招くため矯正治療で改善することが必要です。開咬でお悩みの方は、台東区浅草の矯正専門医院「冨永矯正歯科」までご相談ください。
開咬になる原因
通常であれば舌は上顎について、舌に沿って顎は成長していきます。開咬にかぎらず舌のクセが原因で歯並びが乱れている場合には、矯正治療と併せて舌のトレーニングも必要になります。
- 遺伝的要因
- 「舌で前歯を押す」「舌を前に突き出す」といった舌の悪いクセ
- 舌が大きい
- 口呼吸(扁桃腺・アデノイドによるものなど)
- 鼻炎(鼻づまり・アレルギー性鼻炎) など
放置した場合の弊害
歯並びの乱れを放置するとさまざまなトラブルを招き、歯を失うことにもつながります。大切な歯を守るためにも早めに矯正治療を受けましょう。
- 咬み合わせが悪く、食べものをうまく咬み切ったり咀しゃくしたりできない
- その結果、胃腸に負担をかける
- 口腔内が乾燥して細菌が繁殖しやすくなり、虫歯・歯周病のリスクを高める
- 常に奥歯にばかり負担がかかり、歯を失うリスクが高まる
- 歯の間から空気がもれ、滑舌や発音が乱れることがある など
治療例
 
                             
                        | 主訴 | 前歯で咬めない 凸凹している | 
|---|---|
| 診断名 | 開咬と叢生 骨格的な問題はなし | 
| 治療開始年齢 | 15歳 | 
| 治療に用いた主な装置 | マルチブラケット装置、ホールディングアーチ | 
| 抜歯部位 | 上顎左右第一小臼歯 | 
| 治療期間 | 動的治療16ヵ月 保定24ヵ月 | 
| 治療費用 | 825,000円(税込) | 
| 起こりうるリスクと副作用 | ・歯みがきをしないことによる虫歯の発生 ・歯みがきをしないことによる歯周病の罹患 ・歯の移動時の痛み ・歯根吸収 ・リテーナーを使用しないことによる後戻りの発生 | 


 
                            


